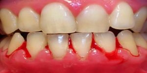
الرئيسية » 6 علامات تحذيرية يعاني منها المدخنين كدلالة على نقص فيتامين سي