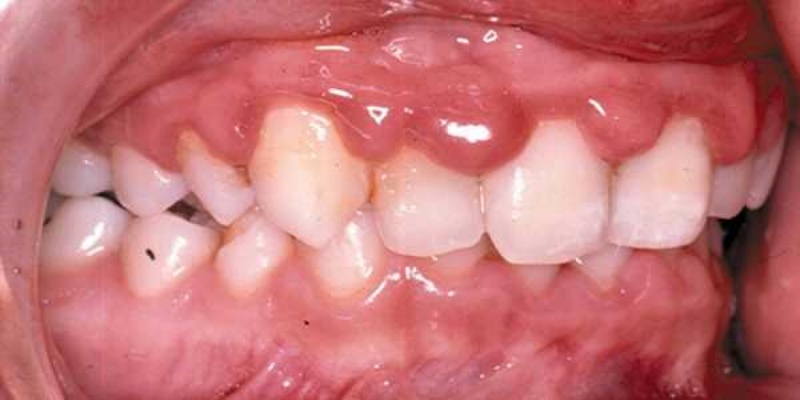
الرئيسية » أمراض الفم الشائعة عند النساء الحوامل
لوجو موقع صحة المرأة

تنويه

هذه المنصة توعوية تثقيفية والمعلومات والنصائح الطبية الواردة فيها لا تغني عن استشارة وزيارة الطبيب.

لا ننصح بتناول الأدوية والمكملات الغذائية أو استخدام مستحضرات التجميل الطبية دون استشارة الطبيب أو الصيدلي.

@2023 – All Right Reserved. Designed and Developed by sehat Al Maraa